Verschiedene Tumoren, insbesondere das Magen- und Pankreaskarzinom, aber auch kolorektale Karzinome zeigen eine Tendenz zur Metastasierung im Bauchraum. Dabei entstehen kleinherdige Absiedelungen des Tumors im Bauchrauch, die das Bauchfell aber auch verschiedene Organe wie den Dünn- oder Dickdarm betreffen (Abbildung 1) .
|
Abbildung 1: Kleinherdige Peritonealkarzinose mit multiplen Absiedelungen eines Magenkarzinoms auf dem Bauchfell und Darm |
Darüber hinaus gibt es Tumoren, die sich primär im Bauchraum bilden, wie das Peritoneale Mesotheliom. Das Pseudomyxom ist ein schleimbildender Tumor der sich bevorzugt im Bauchraum ausbreitet.
Die genannten Tumormanifestationen können durch eine alleinige operativen Therapie nicht vollständig und dauerhaft entfernt werden. Auch die Kombination mit einer systemischen ( intravenösen) Chemotherapie zeigt im Allgemeinen nur eine begrenzte Wirkung. Dementsprechend wurde mit dem Konzept der maximalen operativen Tumorentfernung (Zytoreduktion oder Debulking) in Kombination mit einer regionalen Chemotherapie (hypertherme intraperitoneale Chemotherapie=HIPEC) ein alternatives Konzept für die Behandlung dieser Tumoren entwickelt.
- Pseduomyxoma Peritonei
- Peritoneale Mesotheliom
- Begrenzte Peritonealcarcinose invasiver Tumoren (Kolon- und Magenkarzinom)
- Palliation von Patienten mit malignem Aszites
Ziel des Therapiekonzeptes ist es durch die Kombination eines chirurgischen Eingriffes mit einer lokalen d.h. intraperitonealen Chemotherapie im Bauchraum möglichst makroskopisch und mikroskopisch Tumorfreiheit zu erzielen. Dazu werden während der Operation zunächst alle befallenen Bauchfellanteile entfernt (Peritonektomie), ggf. müssen auch Organe wie z.B. Teile des Darmes, Magen oder Milz entfernt werden um die Tumorlast maximal zu reduzieren. Anschließend wird nach 5-7 Tagen eine Spülung des Bauchraumes mit einer überwärmten Chemotherapielösung durchgeführt, um die letzten Tumorzellen und Tumorherde abzutöten.
Bei der direkten Applikation von Zytostatika in die Peritonealhöhle ergibt sich ein hoher Konzentrationsvorteil im Bauchraum, da die Aufnahme des Therapeutikums aus dem Peritoneum in den Körper im Allgemeinen nur langsam erfolgt.
- Höhere lokale Zytostatikakonzentration im Vergleich zu intravenös (20-1000fach)
- Erhöhte Expositionszeit durch Peritoneum/Plasma Barriere
- Reduzierte Toxizität durch geringere systemische Konzentration
- Hyperthermie erhöht die Zytotoxizität des Chemotherapeutika
Operative Tumorreduktion (Debulking)
Zielsetzung der Operation ist es alle sichtbaren Tumormanifestationen aus dem Bauchraum zu entfernen, um möglichst gute Voraussetzungen für die Wirksamkeit der intraperitonealen Chemotherapie zu schaffen. Die Operation gliedert sich dabei in zwei Phasen. Im ersten Teil der Operation werden die größeren Tumorformationen entfernt (Abbildung 2), wobei bestimmte unter Umständen Organanteile wie z.B. Teile des Darmes mit reseziert werden müssen.
|
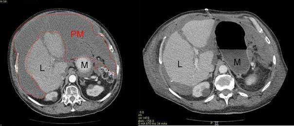
Abbildung 2 : Computertomographie mit einem ausgedehnten Pseudomyxoma peritionei (PM) mit Verdrängung von Magen (M) und Leber (L) vor und nach operativem Tumordebulking |
![]() |
Abbildung 3 : Schematische Darstellung der Peritonektomie im Bereich der Zwerchfelle (aus Sugarbaker et al) |
Danach folgt die flächenhafte Entfernung der befallenen Bauchfellanteile sowohl im Bereich der Bauchwand und der Zwerchfellen als auch auf den Organoberflächen. Da die exakte Ausdehnung des peritonealen Befalls auch mittels aller gängigen diagnostischen Möglichkeiten wie der Computertomographie und Kernspintomographie nicht genau geklärt werden kann, kann präoperativ das Operationsausmaß oft nicht ganz genau festegelegt werden. Natürlich wird großer Wert auf maximalen Funktionserhalt gelegt.
|
Abbildung 4: Schematische Darstellung der hyperthermen intraperitonealen Chemotherapie (HIPEC) |
Hypertherme intraperitoneale Chemotherapie (HIPEC)
In den letzten Jahren wurde eine zunehmende Zahl an Publikationen veröffentlicht, die über eine positive Beeinflussung der Peritonealcarcinose durch Entfernung des Bauchfelles (Peritonektomie) in Kombination mit einer intraperitonealen Chemotherapie berichten. Es konnte sogar ein Langzeitüberleben erreicht werden, wenn vor der intraoperativen, intraperitonealen Chemotherapie die Entfernung aller sichtbaren Peritonealkarzinoseherde möglich war. Wirkstoffe für die hypertherme intraperitoneale Chemotherapie sind Mitomycin C oder Cisplatin/Oxaliplatin im Falle von gastrointestinalen Tumoren sowie Cisplatin und Doxorubicin für Mesotheliome und Ovarialkarzinome.
Die hypertherme intraperitoneale Chemotherapie kann beim offenen oder geschlossenen Bauchraum erfolgen. Patienten mit Adenokarzinomen können darüber hinaus frühzeitig postoperativ mit dem 5-Flourouracil intraperitoneal behandelt werden. Wir bevorzugen das geschlossene Vorgehen, da hier eine bessere Kontrolle der Temperatur möglich ist (Abbildung 4 und 5). Die Perfusion wird mit einer computerkontollierten Pumpeinheit mit verschiedenen Druck- und Temperatursensoren durchgeführt.
![]() |
Abbildung 5a: Intraoperative Darstellung der HIPEC: Zu- und Abfluss der Chemotherapie werden ebenso wie die Temperatur (39- 41°C) werden exakt über die Perfusionseinheit reguliert |
|
Abbildung 5b: Während der Durchströmungsbehandlung des Bauchraumes wird die Temperatur kontinuierlich mittels bis zu 8 Temperatursonden gemessen |
Die intraperitoneale Chemotherapie wirkt hauptsächlich durch direkte Diffusion des Medikamentes. Dabei ist der Konzentrationsvorteil für die Zytostatika infolge ihrer Penetrationsfähigkeit auf bis 2 mm von der Oberfläche beschränkt. Bei in vitro -Studien mit humanen, gastrointestinalen Karzinomzellen, die gegenüber Zytostatika exponiert wurden, konnte nachgewiesen werden, dass Konzentrationen von 10 μg/ml von Mitomycin oder Cisplatin bei 70 bis 80 % der Karzinomzellen einen zytotoxischen Effekt bewirkten.
Pharmokokinetische Studien der intraoperativen intraperitonealen Chemotherapie zeigten, dass 75 bis 90 % des Mitomycin und Cisplatin während der ersten Stunde absorbiert wurden, so dass die Dauer der intraoperativen intraperitonealen Chemotherapie etwa bei einer Stunde liegen sollte. Mittels Hyperthermie kann eine bestehende Resistenz gegenüber Medikamenten durchbrochen werden. Gleichzeitig steigert sie die Penetrationsfähigkeit, Reparaturmechanismen der Tumorzellen werden blockiert und der Wirkungsgrad der Zytostatika gesteigert.





